SpecialCases
Clinical Cases
CASE: 1 (AMELOBLASTIC FIBROMA)
CASE: 2 (CLEFT LIP)
CASE: 3 (CLEFT LIP)
CASE: 4 (CLEFT PALATE)
CASE: 5 (FACIAL INJURIES)
CASE: 6 (GENIOPLASTY)
CASE: 7 (ORTHOGNATHIC)
CASE: 8 (ORTHOGNATHIC)
CASE: 9 (RHINOPLASTY)
CASE: 10 (RHINOPLASTY)
CASE: 11 (TRAUMA)
CASE: 12 (VOMER OSTEOTOMY)
PRE-OPERATIVE
INTRA-OPERATIVE
POST-OPERATIVE
CASE: 13 (VERRUCOUS CARCINAOMA RECONSTRUCTION USING FREE RADIAL ARTERY FLAP)
Case Reports
IN THE DEPARTMENT OF ORAL AND MAXILLOFACIAL SURGERY, WE ARE PERFORMING ALL TYPE OF SURGICAL PROCEDURES STARTING FROM MINOR SURGERIES LIKE IMPACTION, INCISION AND DRAINAGE ETC TO MAJOR SURGERIES LIKE TRAUMA MANAGEMENT, TMJ SURGERIES, CLEFT LIP AND PALATE, ORTHOGNATHIC SURGERIES AND CANCER SURGERIES. HERE, WE PRESENT SOME CASES TREATED IN OUR DEPARTMENT
CASE REPORT 1
A 3 ½ YEAR OLD MALE CHILD REPORTED TO THE DEPARTMENT OF ORAL AND MAXILLOFACIAL SURGERY WITH THE CHIEF COMPLAINT OF SWELLING IN LEFT SIDE OF THE FACE IN MIDDLE 1/3RD REGION SINCE 2 1/2 YEARS. THE PARENTS OF THE CHILD GAVE A HISTORY OF HIM BEING APPARENTLY NORMAL TILL THE AGE OF 1 YEAR. FOLLOWING THIS, THE PARENTS NOTICED A SMALL PAINLESS SWELLING IN THE UPPER LEFT BACK REGION OF JAW. THEY APPLIED SOME LOCAL HERBAL MEDICATION ON THE SWELLING AND THERE WAS TEMPORARY RELIEF. HOWEVER, THE SWELLING CONTINUED TO INCREASE IN SIZE. THE CHILD WAS THEN REFERRED FROM MEWAD HOSPITAL TO THE DEPARTMENT OF ORAL AND MAXILLOFACIAL SURGERY, SGT DENTAL COLLEGE AND HOSPITAL FOR FURTHER MANAGEMENT.
ON EXAMINATION, A SWELLING OF APPROXIMATELY 8CM X 4 CM IN SIZE WAS SEEN IN THE MID-FACE REGION. THE SWELLING WAS HARD IN CONSISTENCY, NON TENDER AND NON FLUCTUANT.
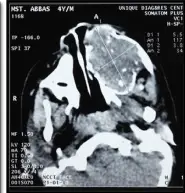
PATIENT UNDERWENT AN INCISIONAL BIOPSY FOR THE LESION IN 2010 WHICH SUGGESTED AMELOBLASTOMA. CBCT OF THE FACE WAS DONE IN 2010 AND IT GAVE THE IMPRESSION OF ODONTOGENIC CYST/AMELOBLASTOMA.
PATIENT THEN REPORTED TO OUR UNIT IN 2012. INCISIONAL BIOPSY REVEALED AMELOBLASTIC FIBROMA AND CBCT OF THE FACE WAS DONE WHICH GAVE AN IMPRESSION OF HEMANGIOMA / RHABDOMYOSARCOMA.
PRE-OPERATIVE PICTURES
FRONTAL VIEW
INTRA-ORAL VIEW
3D CT SCAN
OPERATIVE PROCEDURE
PATIENT UNDERWENT HEMI-MAXILLECTOMY-LEFT SIDE USING WEBER FERGUSSON INCISION UNDER G.A. SUPERIORLY, THE FLOOR OF THE LEFT ORBIT WAS NOT INVOLVED IN THE LESION. INFERIORLY, THE LESION INVOLVED THE LEFT ALVEOLAR RIDGE AND TEETH. MEDIALLY, THE LEFT NASAL FLOOR WAS INVOLVED AND THE NASAL SEPTUM WAS INTACT. LATERALLY, THE BUCCAL CORTICAL BONE WAS INVOLVED. ANTERIORLY, THE ANTERIOR WALL OF MAXILLA WAS INVOLVED IN THE LESION AND POSTERIORLY, THE POSTERIOR WALL OF MAXILLA WAS INTACT. PRIMARY CLOSURE WAS ACHIEVED USING 4-0 VICRYL SUTURE FOR MUCOSA. SKIN CLOSURE WAS DONE USING 4-0 PROLENE SUTURE AND DERMABOND. THE SURGICAL SPECIMEN WAS SENT FOR BIOPSY WHICH REVEALED AMELOBLASTIC FIBROMA.
INTRA-OPERATIVE PICTURES
POST-OPERATIVE PICTURES
IMMEDIATE POST-OPERATIVE RESULTS ARE PROMISING. THE CHILD IS COMFORTABLE. PARENTS OF THE CHILD ARE SATISFIED WITH THE TREATMENT. HE IS UNDER OBSERVATION AND FOLLOW-UP PHASE.
CASE REPORT 2
A 36 YEAR OLD MALE PATIENT REPORTED TO THE DEPARTMENT OF ORAL AND MAXILLOFACIAL SURGERY WITH THE CHIEF COMPLAINT OF INABILITY TO OPEN AND CLOSE THE MOUTH AND DIFFICULTY IN CHEWING FOOD. HE GAVE A HISTORY OF ROAD TRAFFIC ACCIDENT 2 MONTHS BACK IN WHICH HE HAD LOST HIS RIGHT SIDE MAXILLA AND WAS TREATED FOR FRACTURE OF RIGHT ZMC BY ORIF UNDER G.A IN A PRIVATE HOSPITAL.
HE THEN REPORTED TO OUR DEPARTMENT WHERE MICRO-VASCULAR RECONSTRUCTION WITH FIBULA GRAFT WAS PLANNED FOR THE RECONSTRUCTION OF PALATE AND MAXILLA ON RIGHT SIDE. HE ALSO HAD LEFT PARASYMPHYSIS FRACTURE AND MALUNITED LEFT CONDYLE. A TEAM OF EMINENT SURGEONS INCLUDING DR.
SATYAJIT DANDAGI, DR. DAYASHANKARA RAO J.K., DR. HARSH JAIN ALONG WITH OUR STAFF PERFORMED THIS CHALLENGING SURGERY.
PRE-OPERATIVE PICTURES
FRONTAL VIEW
INTRA-ORAL VIEW
3D CT SCAN
OPERATIVE PROCEDURE
THE PATIENT WAS OPERATED FOR MICRO-VASCULAR RECONSTRUCTION OF MAXILLA USING FIBULA GRAFT ALONG WITH FIBULAR ARTERY, VEIN AND PART OF SKIN OVER THE LEFT FIBULA. AFTER HARVESTING FIBULA ALONG WITH THE ARTERIAL AND VENOUS SUPPLY, IT WAS ANASTOMOSED WITH FACIAL ARTERY AND VEIN IN THE NECK REGION AND THE SKIN WAS USED FOR RECONSTRUCTION OF PALATE ALONG WITH THE BONE. THE SKIN GRAFT WAS HARVESTED FROM THE RIGHT THIGH REGION FOR COVERING THE DONOR SITE ON LEFT LEG.
PATIENT WAS ALSO OPERATED AT THE SAME TIME FOR MALUNITED CONDYLE LEFT SIDE ALONG WITH THE FRACTURE OF THE LEFT PARASYMPHYSIS.
INTRA-OPERATIVE PICTURES
SURFACE MARKING FOR FIBULA GRAFTÂ Â FIBULA GRAFT HARVESTED
ANASTOMOSIS IN NECK (RT. SIDE) Â Â SKIN GRAFT
POST-OPERATIVE PICTURES
FRONTAL VIEW
INTRA-ORAL VIEW
IMMEDIATE POST-OPERATIVE RESULTS ARE PROMISING. PATIENT IS SATISFIED WITH THE TREATMENT. HE IS UNDER OBSERVATION AND FOLLOW-UP PHASE.
CASE REPORT 3
A 20 YEAR OLD FEMALE PATIENT REPORTED TO SGT DENTAL COLLEGE WITH THE CHIEF COMPLAINT OF BACKWARDLY PLACED LOWER JAW AND WANTED CORRECTION FOR THE SAME. SHE WAS DIAGNOSED WITH RETROGNATHIC MANDIBLE CLASS II. AFTER THE PREOPERATIVE ORTHODONTIC PHASE IN THE DEPARTMENT OF ORTHODONTICS , THE PATIENT WAS REFERRED FOR THE SURGICAL PHASE TO THE DEPARTMENT OF ORAL AND MAXILLOFACIAL SURGERY.
PRE-OPERATIVE PICTURES
PROFILE
RETROGNATHIC MANDIBLE
OPERATIVE PROCEDURE
BILATERAL SAGITTAL SPLIT OSTEOTOMY (BSSO) WITH 7MM ADVANCEMENT OF THE MANDIBLE ALONG WITH ADVANCEMENT GENIOPLASTY OF 4MM WAS DONE UNDER G.A.
INTRA-OPERATIVE PICTURES
POST-OPERATIVE PICTURES
POST-OPERATIVE RESULTS OF THE PATIENT ARE PROMISING AND THE PATIENT IS SATISFIED WITH THE RESULTS.
SHE WILL UNDERGO FURTHER LEVELING AND ALIGNMENT OF TEETH IN THE DEPARTMENT OF ORTHODONTICS AND IS UNDER CONTINUOUS FOLLOW UP IN THE DEPARTMENT OF ORAL AND MAXILLOFACIAL SURGERY
CASE REPORT 4
A PATIENT NAMED KOMAL , 21 YEARS FEMALE REPORTED TO THE OUTPATIENT DEPARTMENT OF ORAL AND MAXILLOFACIAL SURGERY OF FACULTY OF DENTAL SCIENCES, SGT UNIVERSITY GURGAON WITH A CHIEF COMPLAINT OF EXCESSIVELY PROMINENT CHIN AND PROTRUDED LOWER LIP SINCE LAST 6 YEARS. EXTRAORAL EXAMINATION REVEALED MESOCEPHALIC HEAD AND MESOPROSOPIC FACIAL FORM WITH A CONCAVE FACIAL PROFILE. THE PATIENT PRESENTED WITH A GROSS FACIAL ASYMMETRY WITH SUNKEN CHEEKS, REDUCED MALAR PROMINENCE, A DEEP MENTOLABIAL SULCUS AND AN ANTERIORLY DIVERGENT FACE. LIPS WERE COMPETENT. ON INTRAORAL EXAMINATION, A CLASS III MOLAR RELATION WAS SEEN WITH AN INTERINCISAL OPENING OF 42 MM AND MIDLINE SHIFTED TO THE LEFT SIDE. A HYPOPLASTIC UPPER LIP WITH DEVIATION OF JAW TO LEFT SIDE WHILE CLOSURE OF THE MOUTH WAS SEEN.
CEPHALOMETRIC ANALYSIS WAS DONE FOR THE PATIENT WHICH CONFIRMED THE CLINICAL FINDINGS. THE TREATMENT WAS PLANNED UNDER THREE DISTINCT PHASES.
PRESURGICAL ORTHODONTICS
ORTHOGNATHIC SURGERY
POSTSURGICAL ORTHODONTICS
TREATMENT:
MAXILLARY ADVANCEMENT WITH DOWNGRAFTING ALONG WITH BILATERAL SAGGITAL SPLIT OSTEOTOMY WAS DONE UNDER GENERAL ANESTHESIA. MAXILLARY ADVANCEMENT WAS DONE BY 6 MM ALONG WITH 6 MM OF MANDIBULAR SETBACK WAS DONE. BOTH MAXILLA AND MANDIBLE WERE FIXED INTO THE DESIRED POSTION USING 2 MM CHAMPY’S MINIPLATE. PRIMARY CLOSURE WAS DONE USING 3-0 VICRYL SUTURES.
POSTOPERATIVE STATUS:
POSTOPERATIVELY THE PATIENT IS SATISFIED WITH HER ESTHETIC FACIAL APPEARANCE AND IS CURRENTLY UNDERGOING POSTSURGICAL ORTHODONTIC CORRECTION.
POST-OPERATIVE PICTURES
CASE REPORT 5
A PATIENT NAMED DINESH , 19 YEARS MALE REPORTED TO THE OUTPATIENT DEPARTMENT OF ORAL AND MAXILLOFACIAL SURGERY FACULTY OF DENTAL SCIENCES SGT UNIVERSITY WITH A CHIEF COMPLAINT OF FORWARD PLACED LOWER JAW SINCE LAST 10 YEARS. HISTORY OF PATIENT REVEALED TREATED BILATERAL CLEFT LIP AND PALATE ALONG WITH ALVEOLUS. EXTRAORAL EXAMINATION REVEALED A CONCAVE FACIAL PROFILE WITH RETRUDED MAXILLA, BILATERAL SCAR OF OPERATED CLEFT LIP. ON INTRAORAL EXAMINATION, A CLASS III MOLAR RELATION WAS SEEN WITH AN REVERSE OVERJET OF 8MM WITH MISSING 14 AND 24 CONGENITALLY. PATIENT IS UNDERGOING ORTHODONTIC TREATMENT SINCE 2 YEARS. PATIENT DIAGNOSED WITH HYPOPLASTIC MAXILLA.
ANTERIOR MAXILLARY OSTEOTOMY WITH FIXATION OF HYRAX EXPANSION SCREW WAS PERFORMED UNDER GENERAL ANESTHESIA. ACTIVATION OF HYRAX EXPANSION SCREW AT 1MM PER DAY AFTER 7 DAYS OF SURGERY WAS STARTED TO DISTRACT THE ANTERIOR MAXILLARY SEGMENT AND THE DISTRACTION IS AND WILL BE IN PROGRESS TILL A 3 MM OF OVERJET WILL BE ACHIEVED ACHIEVED.
CASE REPORT 6
A PATIENT NAMED TARAMANI 47 YEARS OLD FEMALE REPORTED TO THE OUTPATIENT DEPARTMENT OF ORAL AND MAXILLOFACIAL SURGERY FACULTY OF DENTAL SCIENCES SGT UNIVERSITY WITH A CHIEF COMPLAINT OF MILD PAIN & SOUR TASTE COMING FROM THE LEFT LOWER SIDE OF THE MOUTH SINCE 3 MONTHS. INCISIONAL BIOPSY REVEALED OF ODONTOGENIC CYST WITH AMELOBLASTOMA PROLIFERATION. ON RADIOGRAPHIC EXAMINATION EXTENT OF THE LESION WAS EXTENDING WHOLE OF THE RIGHT BODY, ANGLE, RAMUS REPLACING THE CORONOID AND THE CONDYLAR PROCESS AND ANTERIORLY DISTALLY UPTO THE CANINE OF THE THIRD QUADRANT.
PATIENT UNDERWENT SEGMENTAL RESECTION OF THE MANDIBLE AND RECONSTRUCTION USING ILIAC CREST GRAFT ALONG WITH RECONSTRUCTION PLATE UNDER GENERAL ANESTHESIA. THE RESECTED SEGMENT WAS SENT FOR HISTOPATHOLOGICAL EXAMINATION. POST –OPERATIVE RESULTS ARE PROMISING. NOW SHE IS UNDER OBSERVATION OF FOLLOW UP PHASE.
CASE REPORT 7
A PATIENT NAMED RIZWAN, 19 YEAR MALE REPORTED TO THE OUTPATIENT DEPARTMENT OF ORAL AND MAXILLOFACIAL SURGERY FACULTY OF DENTAL SCIENCES WITH A CHIEF COMPLAINT OF ASYMMETRY OF FACE SINCE 18 YEARS. PATIENT HAD A HISTORY OF ANKYLOSIS OF RIGHT SIDE TEMPOROMANDIBULAR JOINT WHICH WAS TREATED IN OUR DEPARTMENT A YEAR AGO BY GAP ARTHROPLASTY ALONG WITH RECONSTRUCTION OF TEMPOROMANDIBULAR JOINT USING STERNOCLAVICULAR GRAFT. NOW EXTRA ORAL EXAMINATON REVEALED FACIAL FULLNESS OF RIGHT SIDE, FLATNESS ON LEFT SIDE AND RETRUDED AND HYPLOPLASTIC CHIN. PATIENT WAS DIAGNOSED AS POST ANKYLOSIS FACIAL ASYMMETRY.
FOR CORRECTION OF THIS EXTENDED SLIDING ADVANCEMENT GENIOPLASTY AND ILIAC CREST GRAFTING ON LEFT SIDE WAS DONE UNDER GENERAL ANESTHESIA.
